2026/2/10
腫瘍科
腎細胞癌の摘出を行ったチワワの一例健康診断で見つかった腎臓腫瘍の摘出を行った症例について解説
「健康診断で腫瘍が見つかった」
「元気そうに見えるけど手術が必要」
健康診断で愛犬に異常が見つかったと言われると不安になりますよね。
犬に病気の症状が出る前に健康診断で病気を早期に発見できれば、その後の治療の効果も期待できます。
今回は健康診断で腎臓に腫瘍が見つかり、腎臓の摘出を行った症例をもとに犬の腎細胞癌について解説します。
ぜひ最後まで読んでいただき、愛犬に腎臓に異常が見つかったときに役立てていただければ幸いです。
犬の腎細胞癌について
犬の腎細胞癌は、腎臓を構成する「腎臓実質」の細胞が癌化した悪性腫瘍です。
犬の腎臓腫瘍は比較的まれですが、その中では腎細胞癌が最も多いとされています。
腎細胞癌の特徴には
- 高齢犬に見られる
- 片側の腎臓に発生する
- パピヨンやダックスフンドに多く見られる
などがあります。
腎臓は沈黙の臓器とも呼ばれ、かなり進行するまで症状が出にくいのが特徴です。
健康診断や別の症状で偶発的に見つかることも多い病気です。
犬の腎細胞癌で見られるサイン
犬の腎細胞癌では、以下のような症状がみられることがあります。
- 元気・食欲の低下
- 体重減少
- 血尿
- お腹が張る
犬の腎細胞癌の症状は上記のように、病気特有の症状が少ないです。
多くの場合は犬に元気・食欲のような症状が見られず、「お腹が張っている」で来院され、腎細胞癌が見つかります。
犬の腎細胞癌の診断方法
犬の腎細胞癌の診断は以下の流れで行われます。
- 画像診断で犬の腎臓の腫瘍を確認
- 外科手術で腫瘍のある腎臓の摘出
- 摘出した腎臓で病理検査を行い確定診断
腎臓の腫瘍を確認する画像検査は以下のものがあります。
- 超音波検査
- レントゲン検査
- CT検査
多くの場合はレントゲン検査やエコー検査で腎臓の腫瘍を見つけることが可能です。
腎臓の腫瘍が大きくどこの臓器由来かわからない場合や手術計画のためにCT検査が行われることもあります。
犬の腎細胞癌の治療
犬の腎細胞癌の治療は、腫瘍のサイズや犬の状態に合わせて行われます。
それぞれについて解説していきます。
外科治療
犬の腎細胞癌の治療では、可能であれば腫瘍のある腎臓摘出が第一選択です。
反対側の腎臓が正常であれば、生活の質を保ったまま過ごせることが多いです。
抗がん剤治療
外科療法ができない場合や他の臓器に転移がある場合に外科手術と組み合わせて行われます。
犬の腎細胞癌の抗がん剤治療は有効性は報告されていませんが、人の腎細胞癌のガイドラインや抗がん剤感受性スクリーニング検査をもとに実施されます。
抗がん剤感受性スクリーニング検査とは、犬から採取したがん細胞を用いて試験管内で複数の抗がん剤の効果を事前に測定する検査です。
これにより、抗がん剤治療の反応が期待できる薬剤を選択することができます。
犬の腎細胞癌の予後
犬の腎細胞癌の予後は、
- 腫瘍の摘出状態
- 転移の有無
- 腫瘍の浸潤性
などによって様々です。
外科治療後も腫瘍の再発・転移がある場合は抗がん剤治療が検討されます。
外科治療後は定期的な
- 超音波検査
- レントゲン検査
- 血液検査
を行い、再発や転移がないか確認されます。
腎細胞癌の摘出を行った犬の症例紹介
今回紹介する症例は10歳の去勢雄のチワワです。
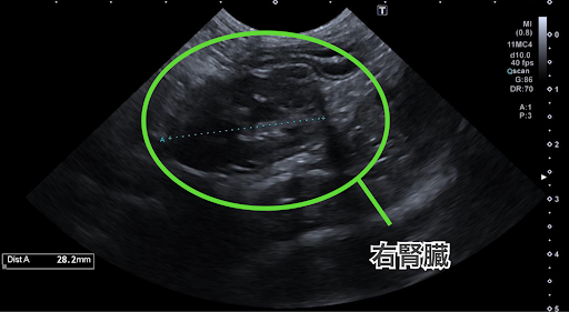
定期的な健康診断を行ったところ、エコー検査で右腎臓に腫瘍が確認されました。
こちらがエコー検査の画像です。


血液検査での異常は炎症マーカーであるCRPに軽度の上昇がありました。
腎臓の数値を含め、他の検査に大きな異常は見られませんでした。
飼い主様と相談の上、当院で右腎臓の摘出手術が行われました。
摘出した腎臓は病理検査と抗がん剤感受性スクリーニング検査が行われました。
手術後に行った病理検査の結果では比較的悪性度の強い腎細胞癌と診断されました。
抗がん剤感受性スクリーニング検査の結果から、複数の抗がん剤で腫瘍細胞への比較的高い抑制効果があることが確認されました。
これにより、「効果が期待できそうな薬剤を選んで使う」という、より個別化した治療選択が可能になります。
現在は、経過は良好のため、抗がん剤治療を行うかどうかを、生活の質や副作用も含めて慎重に検討している段階です。
まとめ
犬の腎細胞癌は、症状がほとんど出ないまま進行することが多い病気です。
今回の症例のように、健康診断をきっかけに偶然見つかるケースも少なくありません。
「元気そうだから大丈夫」
「もう少し様子を見てもいいかな」
そう思っている間に、治療の選択肢が限られてしまうこともあります。
当院では、腎細胞癌の腎臓摘出を含む外科治療に力を入れています。
腫瘍外科では抗がん剤感受性スクリーニング検査を併用し、手術後もその子の状態に合わせた治療方針のご提案が可能です。
- 健康診断で異常があると言われた
- 高齢になり、内臓の病気が心配になってきた
- 腎臓の腫瘍について手術すべきか迷っている
このような場合は「まだ元気な今」だからこそ、ぜひ一度当院へご相談ください。